Dịch viêm phổi Vũ Hán: Hé lộ mức tổn thương tim, gan, phổi ở bệnh nhân nhiễm virus corona
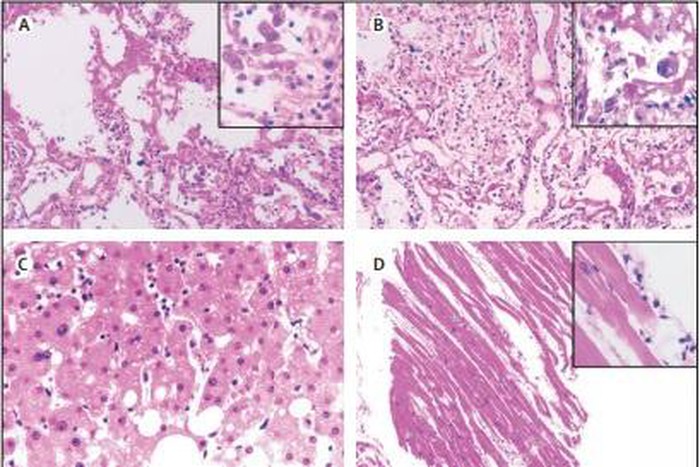
Kết quả sinh thiết phổi của một bệnh nhân tử vong do nhiễm virus corona ở Vũ Hán cho thấy mức tổn thương tim, gan, phổi nặng, gợi nhớ đến 2 đợt bùng phát trước đó là SARS và MERS. Do trước kia các thi thể đều bị hỏa táng ngay lập tức nên việc sinh thiết và giải phẫu tử thi là điều không thể, theo Fox News.

Fox News cho biết, một nghiên cứu mới đăng tải trên tạp chí khoa học The Lancet đã cung cấp góc nhìn mới về trường hợp một nam bệnh nhân tử vong do virus Corona ở Trung Quốc. Nghiên cứu mới cho thấy góc nhìn khác về việc virus tấn công lá phổi bệnh nhân và phổi bị tổn thương trực tiếp đã dẫn đến cái chết.
Bệnh nhân là một người đàn ông 50 tuổi, bị sốt và ho khan từ ngày 14/1 và qua đời hôm 27/1. Trong quãng thời gian kể từ lúc được phát hiện và điều trị, người bệnh ngày càng cảm thấy khó thở.
Trước đó, các bác sĩ tại Trung Quốc cho bệnh nhân điều trị bằng nhiều loại thuốc khác nhau gồm: Thuốc điều trị chống nhiễm trùng interferon alfa-2b, thuốc điều trị HIV AIDS lopinavir–ritonavir, và kháng sinh moxifloxacin để ngừa nhiễm trùng thứ cấp. Ngoài ra, bác sĩ cũng chỉ định steroid Methylprednisolone để điều trị tình trạng viêm phổi, khó thở và thiếu oxy trong máu.
Trong quá trình điều trị, người đàn ông này đã hạ sốt, nhưng vẫn khó thở và nồng độ oxy trong máu giảm mạnh ở những ngày cuối. Tim bệnh nhân đã ngừng đập do hội chứng suy hô hấp cấp tính (ARDS). Hội chứng xảy ra khi chất lỏng tích tụ trong phế nang, các túi khí đàn hồi nhỏ có nhiệm vụ đưa oxy vào máu và lọc khí CO2.
‘Bệnh nhân ngay lập tức được thông khí xâm lấn, ép tim ngoài lồng ngực và tiêm Adrenaline. Tuy nhiên, bệnh nhân không qua khỏi và qua đời vào 18h31 ngày [27/1/2020],’ các bác sĩ điều trị cho hay.
Bệnh cạnh đó, kết quả sinh thiết từ gan của bệnh nhân này cũng cho thấy gan bị tổn thương nhẹ. Các nhà khoa học để ngỏ khả năng tổn thương ở gan là do SARS-CoV-2, hoặc cũng có thể do các loại thuốc điều trị. Ngoài ra, các thay đổi mô học trong tim bệnh nhân khiến các nhà nghiên cứu đặt giả thuyết bộ phận này bị virus corona tàn phá.
“Các đặc điểm bệnh lý của người bệnh nhiễm COVID-19 rất giống với người nhiễm SARS và MERS. Ngoài ra, mẫu sinh thiết gan cho thấy tổn thương do virus Corona mới, hoặc cũng có thể do dùng thuốc điều trị”, nghiên cứu viết trên tạp chí The Lancet.

Cuối năm 2002, một chủng của virus Corona là SARS đã bùng phát ở phía nam Trung Quốc. SARS lan tới nhiều quốc gia khác, khiến 8.000 người nhiễm bệnh và 774 người chết. Virus biến mất sau khi các quốc gia đề ra phương án đối phó.
Năm 2012, một chủng của virus Corona gọi là MERS bùng phát từ Ả Rập Saudi. Đến nay, vẫn còn một số ít người nhiễm bệnh hàng năm. Tổng số ca nhiễm MERS vào khoảng 2.500 và 850 người chết.
Virus SARS và MERS đều có nguồn gốc từ động vật và virus Corona mới nhiều khả năng cũng vậy. Tỉ lệ tử vong của người nhiễm virus Corona vào khoảng 2%, thấp hơn mức 10% của người nhiễm virus SARS.
Theo Fox News, các phân tích như trên đã bị giới hạn trong suốt thời gian qua bởi không có bất kỳ dữ liệu nào thu được từ việc giải phẫu tử thi và sinh thiết bệnh nhân COVID-19. Chính quyền Trung Quốc đã ra lệnh tất cả các bệnh nhân chết vì COVID-19 phải bị hỏa thiêu ngay lập tức để tránh lây nhiễm.
Theo ông Liu Liang, chuyên gia pháp y thuộc Đại học Khoa học và Kỹ thuật Hoa Trung (Trung Quốc), giải phẫu bệnh lý sẽ làm sáng tỏ cơ quan nào trong cơ thể bị virus tấn công nhiều nhất và loại tế bào nào bị tổn thương nặng nhất.
Ông Liu cho biết, nhiều địa phương ở Trung Quốc đã muốn giải phẫu tử thi bệnh nhân COVID-19 từ lâu nhưng lo sợ sẽ phát tán virus ra bên ngoài nhà xác sau phẫu thuật hoặc trong quá trình vận chuyển.
Thiện Thành (t/h)
Điều Cần Biết bank Squaland
Mua Bán Squaland
Nhà Tốt Squaland
News Squaland
